子宫小影响怀孕吗?一文讲清子宫大小的那些事儿
不少女性拿到体检报告,看到 “子宫体积偏小” 的结论就慌了神:是不是影响生育?要不要马上治疗?甚至有些朋友仅凭医生一句口头描述,就开始焦虑。今天咱们就掰开揉碎了聊聊子宫大小的真相,看完再也不怕被误导!
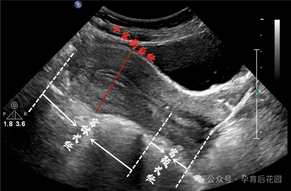
一、正常子宫多大?先记住这组 “黄金数据”
子宫就像一个倒置的小梨子,外表是厚厚的肌肉,里面是孕育生命的 “宫殿”。正常成年女性的子宫大小,可以用三个维度来衡量:
纵径:(从上到下):5.5 - 7.5cm
前后径:(从前往后):3.0 - 4.0cm
横径:(从左到右):4.5 - 5.5cm
如果把这三个数值加起来,总和大约在 12cm 左右,差不多是自己拳头的三分之二大小。另外,子宫体和子宫颈的比例是 2:1,这也是判断子宫发育是否正常的重要参考。
超声测量小知识:
医生一般通过 B 超测量子宫大小,但这里面有不少门道。比如测量长度时,只算子宫体(从宫颈内口到子宫顶),不算宫颈;测厚度和宽度,要找子宫最 “胖” 的位置。而且,如果子宫是弯曲的(前屈或后屈),还得分段测量再相加,不然数据就不准了!
二、诊断 “子宫小”,这些坑千万别踩!
很多人一看到报告上的数值比标准小,就以为自己是 “子宫发育不良”,其实这是大误区!真正的诊断需要满足严格标准:
- B 超测量
:子宫体的长、宽、厚分别低于5 厘米、4 厘米、2 厘米,才能诊断 “子宫发育不良”。 - 容量测量
:如果子宫容量小于5 毫升,也属于异常。不过这种方法需要往宫腔内注入液体,会有点不舒服,所以用得相对少。
划重点:
普通腹部 B 超误差大,阴道超声更精准;
门诊经常遇到这样的案例:有的女性子宫前后径只有 2cm,却顺利怀孕生子;有的子宫大小正常,反而备孕困难。这是因为,子宫大小只是影响生育的因素之一,关键要看功能是否正常。三、子宫小 = 不能怀孕?真相没那么简单!
四、发现子宫小,该怎么办?
- 别盲目治疗
:先找专业医生评估,确认是否真的存在发育问题。如果是青春期前的孩子,医生通常只会描述大小,不会轻易下诊断; - 关注月经变化
:月经周期紊乱、经量过少等症状,可能是子宫发育异常的信号; - 科学干预
:确诊为幼稚子宫的患者,可以在医生指导下进行激素治疗,同时保持规律作息、均衡饮食,为子宫 “加油”。 五、医生的心里话:别让焦虑害了你
曾经有位大学生,子宫前后径仅 1.8cm,四处求医被告知 “无法生育”,整个人都快抑郁了。后来我们建议她先观察,配合适当治疗,一年后复查,子宫大小完全恢复正常。所以说,年龄、个体差异、检查方法都会影响判断,千万不要自己吓自己!
如果你也有类似困扰,欢迎在评论区留言。记住:科学了解、理性应对,才能离健康和好孕更近。


